안녕하세요. 폐암은 다들 이제 잘 알다시피, 폐에 생기는 악성 종양을 말하더라고요. 폐의 결절이라서 많이들 진료를 보러 오시는데 폐 결절은 폐 생기는 혹이나 덩어리를 의미하고요.

근데 그중에서도 양성으로 우리가 이제 주목해도 되는 혹도 있고 악성으로 돼서 소칭 말하는 우리가 암이라고 사색하는 폐에서 만들어 낸 원발 종양을 폐암이라고 하고요.



폐암 병이 나는 까닭
폐암의 병에 걸려 이유가 되는 것은 당연지사 인제 한결같이 뭐 모르는 부분들이 많기는 하지만 최고 많이 연구가 되어지고 불리는 직접적인 까닭은 흡연으로 생각할 수 있어요. 흡연하지 않는 사람들에비교하자면 한 10배 정도 가까이 폐암의 위험을 알린다고 되어 있어요.
현대에는 흡연을 하지 않아도 여성 폐암이나 당연지사 인제 어떠한 유전적인 요인들도 있다고 보고 간접흡연이나 요즘엔 이슈화되는 미세먼지 그리고 중금속이나 라돈이나 석면 같은 이러한 유해물질들도 폐암의 위험을 올린다고 알려져 있어요.
폐암 초기 증상 : 각혈
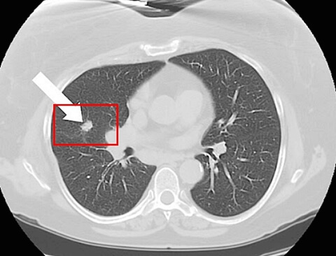
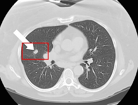
대부분의 다른 암종과 똑같게 폐암도 초기에는 증상이 좀 없기 때문에 주변에서 봐야 되는 이제 병이 진행해봤을 때의 생기는 증상은 많이 보이는 호흡기 증상 중에 일단은 뭐 기침이라든지. 그렇지 아니하면 이제 뭐 가래나 아니라면 각혈 우리가 혈담이라고 재현하는 가래에 섞이는 혈당 그리고 또 진행하다 보면 이제 그런 통증이라든지. 호흡곤란 같은 게 드러날 수있어요.



고로 관념을 해보면 저희가 작은 그냥 혹으로만 있는 초기 폐암에서는 폐 실질에 생길 때는 어느 통증도 없다하며 증상도 없게 되었는데 이제 범위가 작더라도 기관지 근처에 침범을 한 경우 혹은 기관지 내에서 침범을 하도록 하면 혈관이 좀 많게 풍부하며 암종들이 기침을 한 경우 혹은 가래를 할 때 객혈이 묻어서 나온다거나 아니라면 폐나 기관지를 자꾸 자극하는 불순물이 생겼기 때문에 자극이 되면서 기침이 계속 많이 가고 가래도 좀 색상이 변하던가 일어날 수있다고 합니다.
폐암 초기 증상 : 가슴 통증, 호흡 곤란
그리고 통증 같은 경우에는 폐에 벽이나 이런 데를 침범하였거나 다른 뼈나 이런 데를 침범하였을 때는 다소 더 병이 진행한 경우인데 통증들이 좀 드러날 수있다하며 그 폐암이 진척하면서 크기 자체가 커지거나 혹은 뭐 물 같은 거를 만들어서 흉수가 차게 되었다거나 이런 때에는 환자분들이 숨을 쉴 때의 통증도 흉막이 자극되면서 생기지만 호흡곤란이 또 같이 발생하게 된다 하였습니다.



고로 호흡곤란이 좀 되더라도 그런 걸 좀 의심해보아야 되고요. 또 가끔 가다가는 쉰 목소리로 목소리가 쉬어서 오시는 분들도 성대에 이상을 알게됐을 때 그런 양성질환에서도 나타날 수있다고하지만, 성대를 하는 주관하는 어떠한 신경이나 이런 거를 건드렸을 때 흉곽에 있으므로 그럴 때도 신목소리나 이런 것들로도 찾아내는경우가 왕왕 있고요.
하루 이틀 사이가 아니라 또 몇 달간 좀 지속된다거나 이런식으로 좀 오랜 기간 그런 증상이 있으시다면 그리고 몸무게가 같이 빠지는 다음 기력이 없다는 이런 전신 증상들이랑 동어긋나는 사례들도 좀 있고요. 폐암에 인제 뭐 유병률도 높으며 사망하는 비율도 높기도하고 관심도가 많은 암종이고 근래에 이제 치료들도 많이 다양해졌어요.


2025.07.08 - [분류 전체보기] - MZ세대 뜻과 나이, 특징, 트렌드 총정리
MZ세대 뜻과 나이, 특징, 트렌드 총정리
개성과 가치 중심의 MZ세대, 그들은 어떻게 세상을 바꾸고 있을까? 안녕하세요! 오늘은 MZ세대의 트렌드를 재미있고 알차게 알아보겠습니다. MZ세대는 밀레니얼과 Z세대를 아우르는 용어로, 한국
whatinfo.woochynainfo.com
당연지사 미리 조기에 발견을 하고 또 그보다는 더 소중하게 안 발생하게 또 예방을 하고 하는 것들이 제일 중요할 것동일합니다 하지마는 이제 아직은 모든 이유가 되는 것을 우리가 다 찾지는 못했다고 하지만, 현재라도 그래도 아직은 알고 있는 그런 유해 요인들 제일 귀중한 담배에 구성하는 금연을 하시는게 최고 중요할 것 같고요.



그리고 최소한은 검진이라도 국가에서 해주는 저희가 국가검진이 아주 잘 돼 있다고 하는데, 엑스레이나 저소량 시티 같은 그런 국가검진이라도 꾸준하게 이제 잘 챙겨서 잘 받으시고 어떠한 호흡기 증세가 있을 때 빨리 전문가와 만나서 필요한 검사들을 협의하시는 것이 좋을듯 동등합니다
2025.08.02 - [분류 전체보기] - 고지혈증 증상과 수치 총정리 : 침묵의 질병 고지혈증을 이해하고 관리하는 법
2025.07.22 - [분류 전체보기] - 테토녀 뜻 I 에겐녀 뜻 : 새로운 유행어의 세계로 초대합니다!
테토녀 뜻 I 에겐녀 뜻 : 새로운 유행어의 세계로 초대합니다!
안녕하세요!. 요즘 SNS와 온라인 커뮤니티를 뜨겁게 달구고 있는 신조어, 테토녀와 에겐녀에 대해 궁금하신가요?. 이번 글에서는 테토녀 뜻, 에겐녀 뜻을 중심으로 이 단어들의 유래와 사용 예를
whatinfo.woochynainfo.com
2025.06.24 - [분류 전체보기] - 탈룰라 뜻과 우디르 급 태세 전환 뜻 알아볼까요??
탈룰라 뜻과 우디르 급 태세 전환 뜻 알아볼까요??
안녕하세요. 오늘 포스팅에서는 우디르 뜻과 탈룰라 뜻에 대해 알아보겠습니다. 그럼 결론부터 보고 가실까요? 사람이 살아가다 보면 생각하지도 못한 실수를 할 경우가 생깁니다. 실수를 하셨
whatinfo.woochynainfo.com


























It is natural to have lung cancer as a reason. There are many things that I don't know about, but the direct reason why it is studied and called the most can be thought of as smoking. Compared to non-smokers, it is said to inform about the risk of lung cancer about 10 times.
In modern times, even if you don't smoke, there are some genetic factors in women's lung cancer and natural causes, and secondhand smoking, fine dust, heavy metals, radon, and asbestos are also known to raise the risk of lung cancer.
Therefore, even if you have difficulty breathing, you should be suspicious of that. Also, sometimes people who come because their voices are husky and their voices are husky can also appear in benign diseases when they learn something wrong with their vocal cords, but when they touch the nerves that are in charge of the vocal cords, they are often found in the chest. In that case, they are often found with the sound of the new voice or things like that.